Escoliose congênita: causas, sintomas e tratamento
Guia completo para entender e tratar a escoliose congênita.
Na escoliose congênita, a criança já nasce com a coluna torta. Algumas vértebras não se formam direito durante a gravidez e isso cria uma curva mais rígida, difícil de acomodar com o crescimento.
Com o passar dos anos, essa deformidade tende a aumentar. Por isso é tão importante descobrir cedo e manter acompanhamento regular com médico especializado em coluna infantil.
O que é escoliose congênita
Na escoliose congênita, a coluna já se desenvolve torta dentro do útero.
Essa alteração surge bem no comecinho da gravidez, entre a terceira e a oitava semana, quando algumas vértebras podem ficar malformadas ou unidas entre si.
Em lugar de uma sequência reta de ossos, aparecem vértebras em cunha, incompletas ou coladas, o que desvia a coluna para um lado e forma a curva.
Em muitos bebês, o desvio já chama atenção no exame físico: tronco desalinhado, um lado do peito mais alto ou mais projetado.
Há situações em que a alteração é discreta no início e só chama atenção mais tarde, na infância ou na adolescência, quando vem o estirão de crescimento e a deformidade aumenta.
Sintomas e sinais de alerta
Nem toda escoliose congênita causa dor nas fases iniciais. Em muitos casos, os primeiros sinais são apenas alterações visíveis no alinhamento da criança. Alguns sinais de alerta comuns são:
- Ombros em alturas diferentes ou um ombro mais projetado que o outro.
- Quadris assimétricos, com um lado mais alto.
- Cintura desviada, com um lado mais “cavado”.
- Cabeça que não fica bem centralizada em relação ao tronco.
- Costas desiguais ao se inclinar para frente, com uma “corcova” em apenas um lado.
- Pernas com aparente diferença de comprimento em alguns casos.
Em curvas mais graves ou associadas a outras alterações, podem surgir dores nas costas, cansaço ao caminhar, falta de fôlego aos esforços e até sintomas neurológicos, como formigamentos ou perda de força em membros.
Riscos e complicações
O impacto da escoliose congênita depende do tipo de malformação, da localização da curva e da idade em que é diagnosticada. Veja alguns riscos potenciais:
- Comprometimento respiratório: deformidades importantes do tórax podem reduzir o espaço pulmonar e levar a limitação respiratória progressiva.
- Alterações cardíacas: em curvas torácicas graves, o coração pode ter menos espaço para trabalhar, o que favorece sobrecarga e problemas cardiovasculares.
- Dor crônica: a distribuição irregular de carga na coluna, quadris e membros inferiores pode causar dor persistente em costas e pernas.
- Déficits neurológicos: em situações mais complexas, a medula ou raízes nervosas podem sofrer compressão, gerando perda de força, alteração de sensibilidade ou alterações de controle esfincteriano.
- Impacto emocional: a assimetria corporal pode afetar a autoestima, convívio social e qualidade de vida, principalmente na adolescência.
Outro ponto relevante é a possibilidade de malformações associadas em rins, bexiga, coração e sistema nervoso.
Por isso, crianças com escoliose congênita devem ser avaliadas de forma global, e não apenas pela curva da coluna.
Como é feito o diagnóstico
O diagnóstico da escoliose congênita começa na conversa com os pais e no exame do corpo da criança.
O médico pergunta sobre gravidez, parto, desenvolvimento motor e queixas de postura.
Depois observa o alinhamento da coluna, a altura dos ombros e quadris, avalia o tronco, faz testes neurológicos simples e ainda olha pele, tórax e pés em busca de outras alterações.
Os exames usados para confirmar o diagnóstico são:
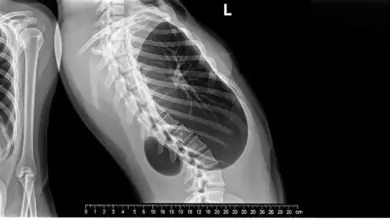
- Radiografias da coluna: permitem visualizar a forma das vértebras, medir o ângulo da curva e acompanhar a evolução ao longo dos anos.
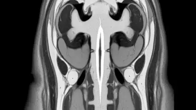
- Ressonância magnética: avalia medula espinhal, raízes nervosas e eventuais anomalias associadas, como diastematomielia ou siringomielia.
- Tomografia computadorizada: ajuda a detalhar malformações complexas da coluna, especialmente em planejamento cirúrgico.
- Exames de função pulmonar: indicados em curvas torácicas importantes para medir o impacto respiratório.
- Ultrassom, ecocardiograma e exames renais: usados para pesquisar malformações em outros órgãos, quando indicados.
Com base nesse conjunto de informações, o especialista define se o quadro é estável ou progressivo e qual estratégia de tratamento é mais adequada para a faixa etária da criança.
Tratamento
O objetivo central do tratamento é evitar que a curva progrida até níveis que comprometam a função pulmonar, coração ou sistema neurológico, preservando ao máximo o potencial de crescimento da coluna.
Observação clínica e acompanhamento periódico
Curvas pequenas, em crianças mais novas, podem ser apenas acompanhadas com consultas com ortopedista especializado em coluna e radiografias seriadas, geralmente a cada 6 a 12 meses.
Esse acompanhamento permite detectar precocemente qualquer aumento do ângulo e ajustar o plano terapêutico.
Em curvas estáveis, o seguimento se mantém até o fim do crescimento, com orientação postural, estímulo à prática de atividade física adequada e monitorização de possíveis queixas respiratórias ou neurológicas.
Uso de órteses e coletes
Na escoliose congênita, coletes têm eficácia limitada sobre a curva estruturada, já que a deformidade está nas próprias vértebras.
Mesmo assim, em alguns casos o especialista pode indicar órteses para controlar curvas compensatórias mais flexíveis ou oferecer suporte postural.
Cirurgia
A cirurgia é considerada em curvas acentuadas, progressivas ou que já causam desequilíbrio importante de tronco, compressão neurológica ou comprometimento torácico. As técnicas mais usadas são:
- Ressecção de hemivértebra e fusão segmentar precoce: indicada em malformações isoladas, com o objetivo de corrigir o desvio em um segmento curto.
- Hastes de crescimento: sistemas expansíveis fixados à coluna para controlar a curva enquanto a criança ainda está em fase de crescimento, com alongamentos periódicos.
- Artrodese (fusão espinhal): usada principalmente em crianças mais velhas e adolescentes, para alinhar a coluna e impedir nova progressão da curva.
O planejamento cirúrgico é complexo e leva em conta a idade, padrão de malformação, estado clínico geral e presença de outras doenças associadas.
A decisão deve ser tomada em conjunto com a família, após explicação clara de riscos e benefícios.
Atualmente, com técnicas modernas de correção e acompanhamento multidisciplinar, muitas crianças com escoliose congênita conseguem estudar, praticar atividades físicas adaptadas e seguir a vida adulta com boa independência.
Quando procurar um especialista
Pais e cuidadores devem buscar avaliação com ortopedista de coluna sempre que notarem desalinhamento de ombros, tronco torto, uma “corcova” em apenas um lado das costas ou queixas repetidas de dor na coluna em crianças e adolescentes.
Na presença de diagnóstico confirmado de escoliose congênita, o seguimento com atendimento com médico ortopedista de coluna experiente em deformidades é essencial para definir o intervalo das consultas, o momento ideal de intervir e o melhor plano de tratamento para cada fase do crescimento.
FAQs
Escoliose congênita sempre piora com o crescimento?
Nem toda escoliose congênita piora de forma intensa. Algumas malformações geram curvas estáveis, que mudam pouco ao longo dos anos. Outras, principalmente barras longas ou combinações de hemivértebra e barra, têm alto potencial de progressão. Por isso o acompanhamento regular com radiografias é decisivo para identificar quem precisa de tratamento mais agressivo.
Qual a diferença entre escoliose congênita e escoliose idiopática?
A escoliose congênita nasce de uma malformação das vértebras durante a gestação e costuma ser identificada na infância, muitas vezes com curvas mais curtas e rígidas. A escoliose idiopática aparece em crianças e adolescentes sem malformações vertebrais visíveis, geralmente em curvas mais longas e flexíveis, sem causa definida.
Quando a escoliose congênita precisa de cirurgia?
A cirurgia costuma ser indicada quando a curva é acentuada, mostra progressão rápida nos exames de controle, gera desequilíbrio do tronco ou ameaça a função respiratória e neurológica. O momento ideal depende da idade da criança, do padrão de malformação e do ritmo de crescimento, e deve ser definido pelo especialista em coluna pediátrica.
Criança com escoliose congênita pode levar vida normal?
Muitas crianças com escoliose congênita conseguem ter rotina próxima do normal, frequentar escola, brincar e praticar atividades físicas ajustadas ao seu quadro. O que faz diferença é o diagnóstico precoce, o acompanhamento de perto e, quando necessário, a realização do tratamento no tempo certo para evitar complicações futuras.
Coletes corrigem escoliose congênita?
Coletes não corrigem a vértebra malformada própria da escoliose congênita. Em alguns casos, podem ajudar a controlar curvas secundárias ou servir como suporte postural, mas não substituem o acompanhamento especializado e, quando indicado, o tratamento cirúrgico da deformidade principal.



