Espondilodiscite piogênica: o que é, sintomas e como tratar
Dor nas costas com febre pode ser espondilodiscite piogênica. Veja sinais de alerta, exames e como costuma ser o tratamento.
Espondilodiscite piogênica é uma infecção que acomete o disco intervertebral e, com frequência, as vértebras vizinhas.
O ponto central é que não se trata de “dor comum nas costas”. É um quadro que exige investigação rápida, porque pode evoluir com abscesso, instabilidade e comprometimento neurológico.
Em muitos pacientes, o começo é discreto: dor persistente, piora noturna, perda de apetite, cansaço. A febre pode aparecer, mas não é regra.
Essa combinação atrasa o diagnóstico, principalmente quando a pessoa já tem histórico de dor lombar.
O que é espondilodiscite piogênica
O termo descreve uma infecção bacteriana na unidade disco-vertebral. Na prática, bactérias chegam à coluna pela corrente sanguínea (vindo de outro foco) ou após procedimentos invasivos.
O organismo reage com inflamação e destruição do tecido, o que explica a dor intensa e a limitação funcional.
Um detalhe importante: mesmo quando o quadro é “local”, o impacto pode ser sistêmico.
Exames de sangue costumam mostrar inflamação ativa, e a dor pode ser incapacitante, com dificuldade para andar, sentar ou dormir.
Como a infecção chega à coluna e quem tem mais risco
A forma mais comum é por disseminação hematogênica, quando bactérias circulam no sangue e se alojam na região do disco e das placas vertebrais.
Isso pode ocorrer depois de infecções de pele, urinárias, respiratórias, infecções em cateter, ou em contextos de bacteremia.
Em outras situações, a porta de entrada se relaciona à cirurgia, infiltrações, punções ou procedimentos na coluna.
Fatores que aumentam o risco:
- Diabetes.
- Doença renal.
- Imunossupressão.
- Uso prolongado de corticoide.
- Idade avançada.
- Histórico de infecções recorrentes.
- Uso de drogas injetáveis.
Sintomas mais comuns e sinais de alerta
O sintoma principal é dor na coluna que não melhora como esperado, com piora progressiva. A região lombar é frequente, mas a infecção pode ocorrer em qualquer nível.
Rigidez, espasmo muscular e limitação de movimentos acompanham. Febre pode existir, mas pode estar ausente, especialmente em idosos.
Sinais de alerta
Procure avaliação imediata quando houver um ou mais sinais de alerta:
- Fraqueza nas pernas, alteração de marcha ou quedas.
- Dormência progressiva, formigamento persistente ou perda de força.
- Alterações de controle urinário ou intestinal.
- Febre associada à dor lombar intensa e contínua.
- Dor importante com perda de peso, calafrios ou mal estar marcante.
Esses achados levantam suspeita de compressão neurológica e abscesso epidural, situações em que tempo faz diferença.
Como é feito o diagnóstico
O diagnóstico combina clínica, exames laboratoriais e imagem.
Em geral, marcadores inflamatórios como PCR e VHS ficam elevados. Hemoculturas (coletas de sangue para cultura) são importantes porque podem identificar o germe sem necessidade de punção local.
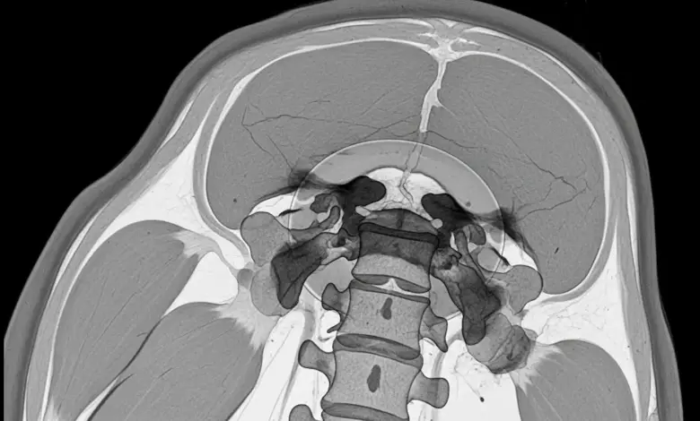
Na imagem, a ressonância magnética é o exame mais sensível para detectar inflamação do disco e das vértebras, além de avaliar abscessos e compressão de estruturas neurais.
Quando as hemoculturas são negativas ou há dúvida do agente, pode ser indicada biópsia guiada por imagem (com agulha), para cultura e anatomia patológica.
A espondilodiscite piogênica pode se parecer com outras causas de dor e inflamação, como fraturas por osteoporose, tumores e doenças inflamatórias. Por isso, a estratégia diagnóstica precisa ser organizada e rápida.
Tratamento
O tratamento costuma envolver antibiótico por um período prolongado, com escolha baseada no agente identificado e no perfil do paciente.
Muitos casos exigem internação no início, principalmente quando há febre alta, dor incapacitante, instabilidade clínica ou risco neurológico.
Controle de dor, repouso relativo e, em alguns casos, uso temporário de órtese (colete) entram como suporte.
Cirurgia não é regra, mas pode ser necessária. As indicações mais aceitas incluem:
- Déficit neurológico.
- Compressão por abscesso.
- Instabilidade mecânica.
- Deformidade progressiva.
- Falha do tratamento clínico.
- Dor que permanece fora de controle mesmo com manejo adequado.
O objetivo cirúrgico é descomprimir estruturas neurais, drenar coleções, remover tecido infectado quando preciso e estabilizar a coluna quando há risco estrutural.
Acompanhamento, tempo de melhora e retorno às atividades
A melhora da dor pode começar nas primeiras semanas, mas o retorno funcional completo pode levar mais tempo, principalmente se houve atraso no diagnóstico.
O acompanhamento costuma usar avaliação clínica e queda progressiva de PCR e VHS. Controle por imagem pode ser indicado em casos selecionados, principalmente quando há piora clínica, suspeita de abscesso ou sintomas neurológicos.
Fisioterapia entra no momento certo, quando a dor e a infecção estão controladas, cuja meta é recuperar a mobilidade, força e confiança para retomar atividades, sem acelerar etapas.
Complicações e prognóstico
As principais complicações são: abscesso epidural, compressão neurológica, destruição vertebral com instabilidade, deformidade e dor crônica.
O prognóstico melhora quando o diagnóstico é feito cedo, o agente é identificado e o tratamento com médico referência em coluna é iniciado com rapidez.
Idade avançada, infecção por bactérias mais agressivas e comorbidades podem dificultar a resposta e exigir acompanhamento mais prolongado.
Se existir dor persistente na coluna com sinais sistêmicos, ou piora progressiva sem explicação, a investigação de espondilodiscite piogênica precisa entrar na lista de hipóteses com prioridade.
FAQs
Espondilodiscite piogênica tem cura?
Na maioria dos casos, sim, com antibiótico adequado e acompanhamento. Quadros com abscesso, instabilidade ou déficit neurológico podem exigir cirurgia.
A febre sempre aparece?
Não. Dor persistente e marcadores inflamatórios elevados podem ocorrer sem febre, principalmente em idosos ou imunossuprimidos.
Qual exame confirma melhor?
A ressonância magnética costuma ser o exame de imagem mais sensível. Hemoculturas e biópsia guiada por imagem ajudam a identificar o germe.
Quanto tempo dura o tratamento?
Varia conforme o agente e a gravidade. Em muitos casos bacterianos, seis semanas é um esquema comum, com ajustes conforme evolução clínica e exames.
Quando a cirurgia é indicada?
Quando há déficit neurológico, compressão por abscesso, instabilidade, deformidade progressiva, falha do tratamento clínico ou dor sem controle.
Pode voltar depois de tratar?
Pode, principalmente se a causa de base não for controlada, ou se houver imunossupressão importante. Acompanhamento clínico e laboratorial reduz esse risco.



